胆膵グループ

Biliary & Pancreas

「断らない、諦めない。」
早期発見と最適な治療

胆道・膵臓領域は診断・治療が極めて難しく、特に膵がんは早期発見が極めて重要です。
当グループでは最新の内視鏡技術と経験を活かし、高度で安全な医療を提供しています。診療においては「断らない・諦めない」姿勢を大切に、全ての患者さまに最適な治療を届けられるよう尽力しています。

Clinical Philosophy

診療方針

世界水準・最先端の医療
断らない・諦めない医療
患者さまに寄り添った医療

大分大学消化器内科学講座胆膵部門では胆道(胆管・胆のう)、膵臓に関連する全ての疾患に関する診断・治療を積極的に行っております。我々の掲げる診療方針は以下の3つに集約されます。

皆様に世界水準の診断・内視鏡技術を届けるため、スタッフは日々研鑽し、最先端の技術と治療を常に更新しながら、日々臨床医療に取り組んでおります。また、県内唯一の大学病院ということもあり、他の医療機関から診断・治療が困難な場合に患者さまのご紹介をお受けすることが多くございます。いわば大分の医療の最後の砦として信頼頂き、全県及び県外からも診断・治療の難しい患者さまが集まっていらっしゃいますが、断らない・諦めない医療を全ての患者さまに提供しております。実際に多くの医療機関で治療が困難であった患者さまの治療が当科で成功したとのお喜びの声を多数頂いております。

そして何より患者さまに安心して診断・治療を受けて頂けるように、懇切丁寧な説明と病状に寄り添った診療を心掛けています。胆膵疾患で何かお困りのことがあればいつでもご相談ください。

Medical Services

胆膵疾患の診療内容

  • 1
    胆道疾患(悪性)
    胆管がん(肝外胆管がん・肝内胆管がん)・胆のうがん・十二指腸乳頭部がん
  • 2
    胆道疾患(良性)
    急性胆管炎・急性胆のう炎・自己免疫性胆管炎・PBC
    総胆管結石・胆のう結石・肝内胆管結石
    良性胆管狭窄
    十二指腸乳頭部腺腫
  • 3
    膵疾患(悪性)
    膵がん・特殊型膵がん・膵神経内分泌腫瘍(PNEN)
  • 4
    膵疾患(良性)
    急性膵炎・慢性膵炎・自己免疫性膵炎
    仮性膵嚢胞・WON・膵周囲液体貯留
    膵嚢胞性疾患(IPMN・SCN・MCNなど)
    膵石

当グループの特徴として、他科との強力な連携関係が挙げられます。患者さまに対する診断・治療は消化器外科胆膵部門、腫瘍内科の医師と連携して行い、その時の患者さまに最適な治療を提供いたします。2週間に1回のCancer Boardで各科の患者さまの病態及び治療方針について共有しています。

Endoscopic Diagnosis and Treatment

最先端の内視鏡診断・治療

当科では世界最先端の医療を実践するため、特に内視鏡診断・治療に力を入れております。特に超音波内視鏡(EUS)での診断・治療技術は一朝一夕に身につくものではなく、これまでの豊富な経験と最先端の知識に基づいて行われます。
以下に挙げる内視鏡診断・治療は難易度、偶発症発症率共に高いとされていますが、当科はハイボリュームセンターとして高い成功率と安全性をもって治療を提供いたします。

ERCP関連手技ERCP-related procedures

  • 内視鏡的乳頭腫瘍切除(EP)
  • バルーン内視鏡ガイド下内視鏡的逆行性胆管膵管造影(BE-ERCP)
  • 治療困難膵石・胆石に対する胆道鏡(POCS)を用いた電気水圧衝撃波結石破砕術(EHL)
  • 胆道鏡(POCS)による胆道がん範囲診断
  • 肝門部腫瘍に対するラジオ波焼灼術(治験)
  • 術後困難症例に対するBE-ERCPによる胆道ドレナージ

  • 胆道鏡POCS・膵管鏡POPSを用いた結石破砕術。膵管鏡を用いた治療は大学病院での許可の元、積極的に行っております。

EUS関連手技EUS-related procedures

  • EUSによる早期膵がん診断
  • 診断困難症例に対する超音波内視鏡ガイド下組織採取(EUS-TA)
  • 閉塞性黄疸に対する超音波内視鏡ガイド下胆道ドレナージ(EUS-BD:EUS-HGS/EUS-CDS)
  • 術後治療困難結石に対するEUS-BDルート(ESCR)を用いた結石除去
  • 超音波内視鏡ガイド下胆のうドレナージ(EUS-GBD)
  • 超音波内視鏡下膵嚢胞ドレナージ(EUS-TD)
  • 困難とされているEUS-HGSやEUS-PDも当科では標準化された治療として行っております。

Efforts for Early Detection

膵がん早期発見の試み

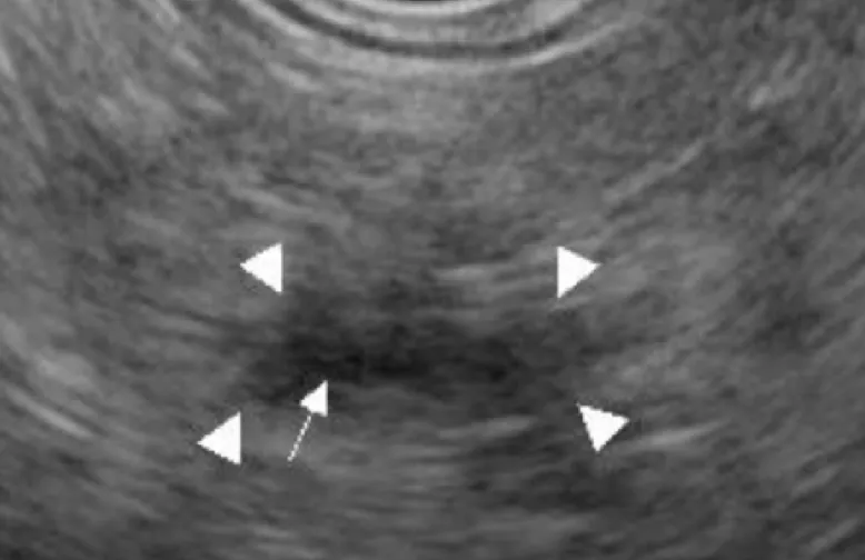
胆膵部門の特徴の1つとして膵がん早期発見の試みがあります。膵がんは固形がんの中で予後最悪と言われていますが、直径10mmまでのサイズで発見できた場合には5年生存率(5年生きられる確率)が90%以上と最新のデータで発表されています。これらを見つけることは通常の画像診断では難しく、早期膵がんに特殊な所見を発見する必要があります。特殊な所見とは小さながんが存在することによって起きてくる間接的な画像所見を指し、・主膵管拡張/狭窄・分枝膵管拡張・膵実質限局性萎縮・膵管周囲低エコー等があります(画像はSagami R et al. Cancers 2021より引用)。

これらは全てStage 0の膵がんの方の画像所見であり、通常のCTやMRIでも確認できる他、EUSを用いてより詳細に発見することもできます。これまでに多数の早期膵がんを診断・治療した実績は世界的にも認められており、大分の患者さまにも良質な診断・治療を受けて頂くことが出来ます。

また現在は大分市と協力して腹部エコー検査事業を展開しており、通常より安価にエコー検査を受けることで、間接画像所見を診断することができる可能性があります。もちろん、詳しい診断が必要になった場合は当グループで受けられますので、気になる方はご相談ください。

  • 主膵管・分枝膵管拡張

  • 膵実質限局性萎縮

  • 膵管周囲低エコー

For Professionals

専門医紹介

For Professionals

医療関係者の方へ

いつも大切な患者さまをご紹介頂き、誠にありがとうございます。当グループでは前述の通り、世界水準・最先端の医療、断らない・諦めない医療、患者さまに寄り添った医療を心がけております。これは治療が難しいだろうとお考えになる疾患の中には、大学ならではの最先端治療で解決できるものもございます。医局関連病院の先生からのご紹介も大歓迎です。胆膵関連疾患で困ったことがある場合はいつでもご相談ください。