肝臓グループ

Hepatology Group

気づきにくい肝臓の異変
グループ連携で全方位診療

肝臓は沈黙の臓器と呼ばれ、病気になっても初期には自覚症状が出にくい臓器です。そのため、気づかないうちに病気が進行してしまいます。また、肝臓はさまざまな臓器と密接にネットワークを形成しているため、患者さまが訴える症状も多彩です。そのため、疾患だけを診るのではなく、患者さま全体を診ることを心がけ、グループ内で情報を共有しながら一丸となって診療に取り組んでいます。

Medical Services

肝臓疾患の診療内容

  • 1
    急性肝炎の診断・治療
    ウイルス性肝炎、自己免疫性肝炎、薬物性肝障害など
  • 2
    慢性ウイルス性肝炎の診断・治療
    B型慢性肝炎、C型慢性肝炎
  • 3
    肝硬変症の合併症に対する治療
    腹水、肝性脳症、食道・胃静脈瘤など
  • 4
    肝腫瘍の診断・治療
    肝細胞がん、胆管細胞がん、転移性肝腫瘍など
  • 5
    自己免疫性肝疾患の診断・治療
    自己免疫性肝炎、原発性胆汁性胆管炎など
  • 6
    代謝性肝疾患の診断・治療
    アルコール性肝障害、代謝機能障害関連脂肪性肝疾患など

ウイルス性肝炎 Viral Hepatitis

B型肝炎・C型肝炎は放置すると肝硬変や肝臓がんへと進展する可能性がありますが、大半は自覚症状がありません。そのため、早期発見と治療が重要です。
B型肝炎ウイルス(HBV)、C型肝炎ウイルス(HCV)に対する治療アプローチは目覚ましい発展を遂げてきましたが、B型慢性肝炎の患者さまに持続感染しているHBVは身体から完全排除には至っていません。核酸アナログ製剤という内服薬でウイルス増殖を抑えて肝炎を抑えることができますが、制御下においても発がん例を認めます。

また、B型肝炎の既往感染患者さまで抗がん剤や免疫抑制治療を受けた場合に、HBVが再活性化し劇症肝炎を起こすため注意が必要であり、当科と連携しながら診察・治療にあたっています。C型慢性肝炎においては、抗HCV療法の治療成績は飛躍的に向上し、直接作用型抗ウイルス薬の内服治療により、ほとんどの患者さまにおいてウイルスを完全に排除することが可能になりました。

脂肪性肝疾患(SLD) Steatotic Liver Disease

近年提唱された疾患概念であり、アルコール性も非アルコール性も、血液検査が異常な場合も正常な場合も含めた様々な病態が含まれます。アルコール関連肝疾患(ALD)は、長期(通常は5年以上)にわたる慢性的な過剰飲酒が原因と考えられる肝障害です。代謝機能障害関連脂肪性肝疾患(MASLD)は、これまで言われてきた非アルコール性脂肪性肝疾患とほぼ同義ですが、「肥満、糖尿病、高血圧、脂質代謝異常などの心血管代謝危険因子が少なくとも一つあること」という要件が付加されました。この状態では初期にはほとんど症状はありませんが、やがて肝機能障害、代謝機能障害関連脂肪性肝炎(MASH)を起こし、肝硬変や肝細胞がんに進行することもある注意が必要な疾患です。

また、新たに飲酒はあるものの、ALDに当てはまるほどではない、中等量の飲酒を伴う代謝機能障害アルコール関連肝疾患(MetALD)というカテゴリーも提唱されています。その他にも薬剤性や遺伝子疾患による脂肪肝などを含むカテゴリーを加え、脂肪性肝疾患を包括的に捉える時代に変化してきています。近年、脂肪性肝疾患を背景とした肝発がん例が増加しています。併存疾患も多いため、他の診療科と連携しながら適切なアプローチができるように心がけています。

肝硬変LIVER CIRRHOSIS

慢性肝炎が長期間持続すると、線維化が進行して、肝臓は徐々に硬くなり、肝硬変の状態となります。肝硬変では肝臓のなかを血液がスムーズに流れなくなり、腸から吸収した栄養や脾臓や胃などの臓器から血液を運ぶ門脈の血流が滞るため、肝機能が低下してしまいます。
その成因としては、B型肝炎、C型肝炎、SLDなどがあり、検査を行っても診断が困難な患者さまの中には免疫異常によって肝炎が生じている場合があります(自己免疫性肝炎や原発性胆汁性胆管炎など)。
肝硬変への進展を阻止するためには、その原因となっている疾患に対する治療を適切に行うことが重要になります。

B型肝炎やC型肝炎は、近年抗ウイルス薬の進歩により、慢性肝炎から肝硬変に進展する患者さまは少なくなりました。最近問題となっているのは、お酒の飲み過ぎによるALDや過食や運動不足などが原因で生じるMASLDです。

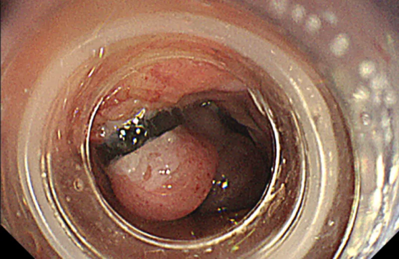
診断時にすでに肝硬変まで進行してしまった患者さまも少なくなく、肝硬変が進行した患者さまでは、肝がん、難治性腹水、肝性脳症、食道・胃静脈瘤(写真1)などさまざまな合併症が生じてきます。当科ではこれらの肝硬変に伴う合併症に対して、それぞれ適切な薬剤や処置を行って治療を進めていきます。

(写真1)食道静脈瘤

食道静脈瘤に対する内視鏡的静脈瘤結歯術

肝細胞がんHepatocellular Carcinoma

肝臓がんは再発を繰り返すがんであり、進行がんで発見されることも少なくありません。近年、進行肝がんに対し、種々の分子標的治療薬による治療や免疫療法が行われるようになり、治療効果は向上していますが、未だ多くの難治例が存在しています。
近年はALDやMASLDを背景としたウイルス性肝炎以外を背景とした肝細胞がんが増加しています。肥満人口の増加に伴い、肝がんの背景となる慢性肝疾患としても全世界的に問題となっています。
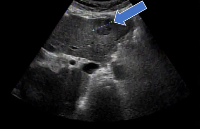
肝がんの検査には、血液検査と超音波(エコー)検査(写真2)、CT検査(写真3)、MRI検査といった画像検査を組み合わせて行います。CT検査やMRI検査では造影剤を使用して詳細な検査を行いますが、腎機能低下や透析症例でも安全に使用できる「造影剤」を用いて行う造影エコー検査(写真4)も週1回外来で行っています。

さらには、肝臓の腫瘍を採取して組織検査に提出し、良性か悪性かを調べる肝腫瘍生検を行う場合もあります。

肝がんの治療法には外科的切除、ラジオ波焼灼療法(写真6)、カテーテル治療(肝動注化学塞栓術)(写真5)、全身薬物療法、放射線治療などがあり、がんの進行度、部位、肝機能などを考慮し、内科、外科、放射線科との緊密な連携のもと、肝がんに対する先進的で集学的な治療を実践しています。当科では、ラジオ波焼灼療法と肝動注化学塞栓術を組み合わせた治療を行っています。また、進行性肝がんの患者さまには免疫チェックポイント阻害薬、分子標的薬を含めた全身薬物療法を行っており、患者さまの病状に応じた治療を行っています。

  • (写真2)肝がんのエコー写真

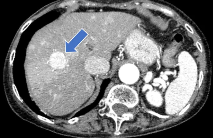
  • (写真3)肝がんの造影CT写真

  • (写真4)肝がんの造影エコー写真

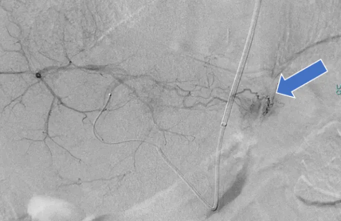
  • (写真5)血管造影検査で肝がんは造影剤で染まる

  • (写真6)当科でのラジオ波焼灼療法施行風景

  • (写真7)肝動注化学塞栓術により薬剤が貯留した肝がん

Liver Disease Consultation Center

肝疾患相談センター

大分大学医学部附属病院は「肝疾患診療連携拠点病院」に指定されています。
拠点病院を中心として、地域における専門医療機関・かかりつけ医間の診療ネットワークのさらなる充実を図っています。その中心的な役割を担うのが肝疾患相談センターです。
肝疾患相談センターでは肝臓専門医、看護師、相談員が、みなさんの肝疾患に関する相談に乗り、適切な助言を行うとともに、市民公開講座、肝臓病教室、肝炎ネットセミナーなどを開催し、みなさんに肝疾患を知ってもらう活動に精力的に取り組んでいます。

大分大学医学部附属病院 肝疾患相談センター
For Professionals

専門医紹介

For Professionals

医療関係者の方へ

当グループでは、複数の肝臓専門医が在籍し、ウイルス性肝炎、脂肪肝、自己免疫性肝疾患、肝硬変、肝細胞がんに至るまで、幅広い肝疾患に対応しております。肝がんに対しては、ラジオ波焼灼療法(RFA)、動注化学療法、分子標的薬、免疫療法などを組み合わせた集学的アプローチを実践しています。
大学病院の特性を活かし、各専門診療科との緊密な連携による最適な治療方針の決定や、多職種チームによる包括的なサポートが可能です。
診断に難渋する症例や治療が難しいケースなど、どの段階でもぜひご相談ください。医局関連病院の先生方をはじめ、地域の先生方と連携しながら、質の高い肝疾患診療の提供に努めてまいります。